Docteur Renée PAREJA - Chirurgien-dentiste
PARODONTOLOGIE - IMPLANTOLOGIE - PROTHESES & SOINS
314 bis, Chemin Thomas et Pallanca (ZI l'Argile), 06370 Mouans-Sartoux
+33 4 92 98 00 95
Docteur Renée PAREJA - Chirurgien-dentiste
PARODONTOLOGIE - IMPLANTOLOGIE - PROTHESES & SOINS

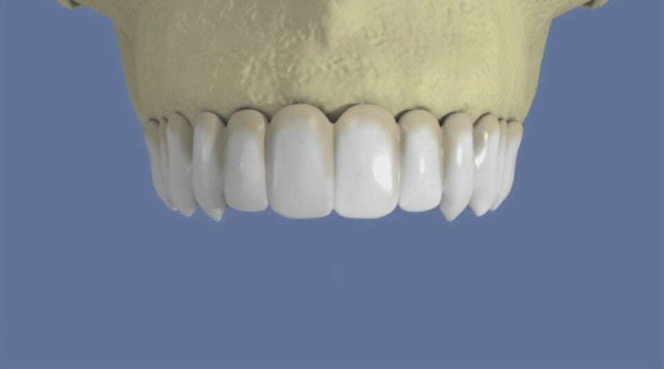
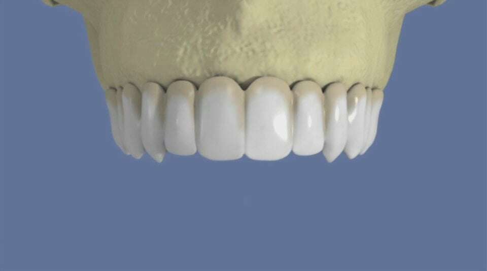
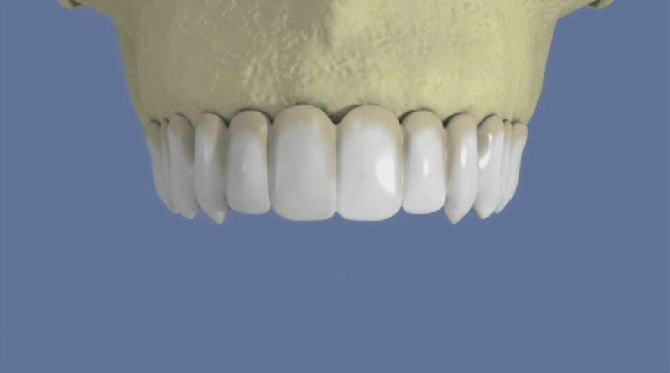
Maxillaire : bridge vissé sans fausse gencive


video-play-icon

Articles similaires

Création par Webdentiste

Connexion